Ressources médicales
Articles

Nouveautés diagnostiques et thérapeutiques en néphrologie : une décennie riche en avancées

Introduction

La néphrologie a, au cours des 10 dernières années, connu des évolutions majeures, conséquences de modifications épidémiologiques et de progrès diagnostiques et thérapeutiques importants.

Parmi celles-ci, retenons :

  • La part croissante prise par la néphropathie diabétique et l’hypertension artérielle comme cause de maladie rénale chronique et d’insuffisance rénale terminale ; les patients, souvent âgés, sont exposés à un risque élevé de complications cardiovasculaires pendant le traitement par dialyse ou après transplantation dont elles augmentent le coût.
  • La « redécouverte » du rôle majeur que jouent les protéines du complément avec de nouvelles définitions et prises en charge de pathologies telles que les glomérulonéphrites membrano-prolifératives ou les microangiopathies thrombotiques (MAT).
  • L’amélioration des connaissances physiopathologiques de la néphropathie à IgA (maladie de Berger), permettant d’entrevoir l’arrivée d’une thérapie ciblée prometteuse.
  • La mise en évidence de cibles antigéniques jusque-là si mystérieuses des glomérulopathies extra-membraneuses (GEM).
  • Les progrès spectaculaires dans la connaissance des anomalies génétiques responsables de néphropathies familiales notamment kystiques, et de leurs mécanismes pathogéniques, permettant d’avoir à notre disposition des possibilités thérapeutiques ciblées.
  • Les progrès dans la connaissance des mécanismes de la fibrose rénale, soulignant le rôle nocif ou protecteur de cytokines ou de facteurs de croissance, avec là encore de possibles implications thérapeutiques à venir.
  • L’avènement des traitements par immunothérapie ciblée. Ces nouvelles molécules ont permis de nouvelles approches thérapeutiques spectaculaires pour certaines pathologies néphrologiques immunologiques (MAT, vascularites, …). Toutefois leur utilisation à grande échelle dans les différentes disciplines médicales (oncologie, rhumatologie, gastro-entérologie, ….) a fait émerger de nouvelles pathologies néphrologiques aiguës, subaiguës et chroniques, fonctionnelles ou immuno-allergiques, conséquences des effets indésirables de ces traitements.
  • La confirmation par les données de la « médecine fondée sur les preuves (evidence-based medicine) de l’efficacité des bloqueurs du système rénine-angiotensine pour ralentir, parfois arrêter, l’évolution de la néphropathie diabétique, des glomérulopathies et des néphropathies hypertensives vers leur stade terminal.
  • L’augmentation continue de la part prise par la transplantation de reins à partir de donneurs vivants, dont le pronostic est meilleur que celui de la transplantation à partir de donneurs cadavériques. De plus, dans le domaine de la transplantation, la redéfinition des rejets aigus et le rôle délétère crucial des anticorps anti-HLA sont à l’origine de nouvelles prises en charge et d’un recul des barrières immunologiques de la transplantation.
  • Le rôle croissant de l’éducation thérapeutique qui en informant le patient permet sur le long terme non seulement une meilleure prise en charge, mais également une redistribution de l’arsenal des techniques de suppléances que nous avons à notre disposition.
    Il n’est pas possible de développer l’ensemble de ces sujets dans cet article. Parmi ceux-ci, nous avons choisi d’en approfondir trois.

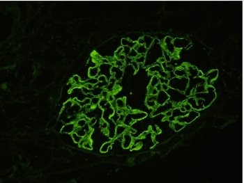
La néphropathie à IgA (Maladie de Berger)

Le traitement des formes sévères (protéinuriques et/ou avec insuffisance rénale) de la néphropathie à IgA, glomérulonéphrite chronique primitive la plus fréquente, est en cours de réévaluation. Plusieurs études ont souligné que les risques associés à un traitement immunosuppresseur classique (corticostéroïdes principalement) dépassent largement les bénéfices attendus. Par contre, les corticoïdes à libération entérique (Budesonide) constituent une autre piste thérapeutique très prometteuse qui fera l’objet d’une étude de phase 3, après des résultats encourageants en phase 2.


Figure 1 : Examen par immunofluorescence d’un glomérule. Dépôts mésangiaux d’IgA. Maladie de Berger.


La polykystose hépato-rénale autosomique dominante de l'adulte (ADPKD)

C’est la maladie génétique la plus fréquente en néphrologie, et certainement une des maladies génétiques les plus courante dans la population puisqu’elle atteint environ une personne sur 500 à 1000. La caractérisation des gènes impliqués dans les maladies kystiques a largement contribué aux connaissances précises de la physiopathologie. Ceci a permis de proposer différentes thérapies ciblées sur les cellules tubulaires du rein responsables de la formation et de la croissance des kystes. Parmi celles-ci, le Tolvaptan (un inhibiteur des récepteurs de la vasopressine) a prouvé son efficacité non seulement pour ralentir la croissance des kystes, mais aussi et surtout pour ralentir la progression vers l’insuffisance rénale sévère. Depuis 2016, ce médicament est enregistré et remboursé dans un cadre précis.
 


Figure 2 : Progression de la maladie rénale dans la polykystose hépato-rénale dominante de l’adulte.


Le programme d'échange de reins de donneurs vivants pour la transplantation rénale

La transplantation rénale est le traitement de choix de l’insuffisance rénale terminale, permettant une meilleure qualité de vie et une espérance de vie allongée aux patients urémiques, en comparaison à la dialyse. La transplantation se fait à partir d’un rein de donneur décédé ou à partir d’un rein de donneur vivant apparenté ou non. Face à la pénurie croissante des reins de donneurs décédés, le don vivant est de plus en plus encouragé, d’autant qu’une sélection rigoureuse et une préparation optimale ont permis de clairement montrer un bénéfice par rapport aux reins de donneurs décédés. Dans certains cas, un excellent candidat donneur ne peut être retenu en raison d’une incompatibilité dans les groupes sanguins ABO ou en raison de la présence d’anticorps anti-HLA chez le receveur dirigés contre son donneur. 

C’est pour permettre de retenir la candidature de ces excellents donneurs récusés au don de rein qu’un programme d’échange de reins a été mis sur pied dans divers pays. Les échanges de ce type sont réalisés en Belgique depuis 2013 avec succès. Le développement continu de ce programme devrait non seulement permettre de réduire la liste d’attente de transplantation rénale, mais aussi de sélectionner plus finement encore les organes proposés et ainsi améliorer le pronostic de la transplantation rénale.


 

Nos experts

Photo de Martial MOONEN

Dr Martial MOONEN

Service de Néphrologie
Néphrologue - Chef de Service